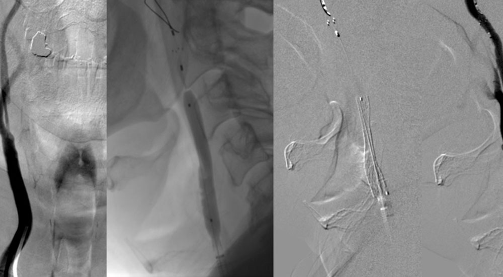
Digital Subtraction Angiography (DSA)